Tomlinson Dental
Dentist - Tampa, FL
Tooth-Colored Fillings

Say Goodbye to Metal Fillings - Tampa's Modern Filling Experts

Tooth-colored fillings, white fillings and composite resin fillings are all names for the high-strength, natural-looking fillings that can be placed today instead of silver or gold (also known as amalgam fillings). No matter what the name, Tomlinson Dental will know just what you're talking about when referring to this natural-looking filling.

Call us at (813) 209-0338 or request an appointment online so we can discuss the benefits of white fillings and how they can help improve your smile.

Composite Fillings or Tooth Colored Fillings

Upgrade Your Smile with Tooth-Colored Fillings in Tampa

Composite fillings are today's modern filling choice. They are made to match your tooth's natural color to make them virtually invisible to notice and are placed onto the tooth by bonding the filling material to the tooth so they do not have the unlikely chance of falling off. Many patients choose to replace their old silver and gold fillings with composite fillings.

Other Benefits:

  • Beautiful in appearance
  • Completed in a single visit
  • No filling leaks
  • Less chance of tooth cracking

Strong and Natural Looking

White fillings are made from a high-strength composite resin that can be easily color-matched to your natural tooth making it nearly invisible to you and anyone else. Unlike silver and gold fillings, composite tooth-colored fillings actually bond to the tooth which means they support the surrounding tooth structure, which helps to prevent breakage and insulate the tooth from excessive temperature changes. You are much less likely to have a composite filling fall out which is a common issue with metal fillings.

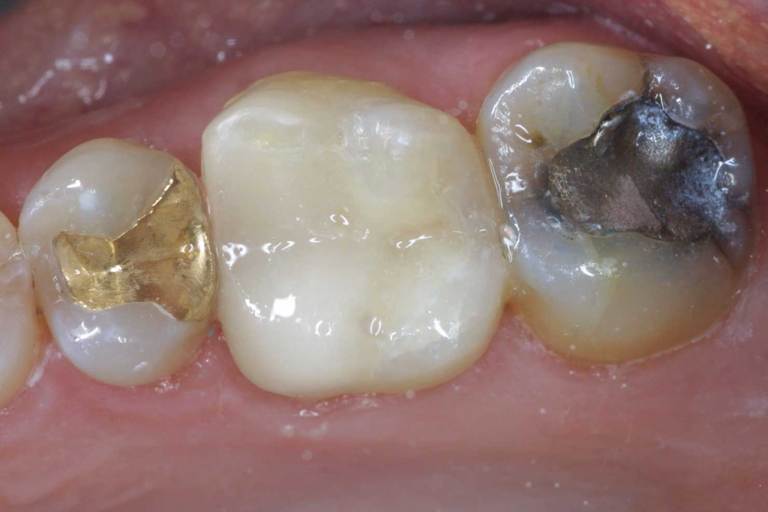
Replacing Old Silver Or Gold Amalgam Fillings

Tomlinson Dental specializes in beautiful cosmetic dentistry. Metal fillings are often thought of as an eyesore especially with the front teeth that are visible to everyone when you smile. We are able to remove those old metal fillings and replace them with today's white fillings which are nearly identical in color to the teeth that they are in.

Virtually everyone is a candidate to have metal fillings replaced with natural-looking white fillings. Request an appointment online or call our office directly at (813) 209-0338 to discuss replacing your old metal fillings with white ones.

How Much Do White Fillings Cost?

As with every dental procedure, prices vary depending on each person's unique treatment situation but white fillings generally cost more than metal fillings. Most patients report back to us that the advantages of white fillings outweigh the price differences because of their natural appearance and unique ability to bond to the teeth.

Are White Fillings Covered Under Dental Insurance?

Many dental insurance plans cover the price of white fillings up to that of metal fillings. Tomlinson Dental will gladly check with your dental insurance provider to see just how much they will cover and help you experience white fillings for yourself.

If you are thinking about replacing your old metal fillings with natural-looking white fillings, please call us at (813) 209-0338 or request an appointment today. We'll get you in and will go over everything needed to get you on your way to a much more natural looking smile.

How Much Do White Fillings Cost?

Don't Count Silver & Gold Out Completely

Silver and gold fillings have been around for a very long time; and to this day, they do an adequate job in filling teeth. Today's white fillings are, by far, a patient's first choice when it comes to any kind of dental procedure that requires a filling because of their natural cosmetic benefits. This doesn't mean white fillings are the best choice in every situation; metal fillings still have their own benefits.

Metal fillings (also known as amalgam fillings) are very strong and do not wear out as quickly as composite (white) fillings. In situations where a tooth requires a large filling and other treatment options such as porcelain crowns are not desired, a metal filling might be your best treatment option because of the structural qualities of the metals themselves; and composite fillings generally can't withstand the forces exerted on them if they have to cover a very large area. Metal fillings generally cost less than natural-looking fillings, and patients that need fillings in any out-of-sight teeth often consider a metal filling.

Silver and Gold Fillings - Amalgam Fillings

SonicFill

SonicFill is the only easy to use, sonic-activated, bulk fill dental composite system for posterior restorations that requires no additional capping layer. Proprietary sonic activation enables a rapid flow of composite into the cavity for effortless placement and superior adaptation. It's that fast, easy and effective, greatly reducing procedure time. Now you can go from placement to a polished restoration in less than 3 minutes on cavities up to 5 mm in depth.

SonicFill